
当院の各種症例紹介
オフィスホワイトニング


| 治療内容 | オフィスホワイトニング |
|---|---|
| 治療期間 | 1回 |
| 主なリスク、副作用 | 施術中に知覚過敏の症状が起こることがあります。白さを実感できるまでには個人差があります。 |
ホームホワイトニング
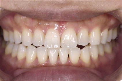
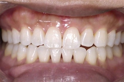
ホームホワイトニング症例1
| 施術回数 | 20回 |
|---|---|
| 期間 | 不明 |
| 副作用 | 施術中に知覚過敏の症状が起こることがあります。 白さを実感できるまでには個人差があります。 |
![]() |
患者様は20代女性の方です。
ホームホワイトニングを行うことで、全体的なトーンアップを目指します。
施術前は色ムラが目立っていましたが、5回目を終えた頃にはバランスの良い白さになっています。
その後もご自宅での施術に取り組んでいただき、20回目のマウスピース装着を外した頃には全体的に美しい状態が実現しました。
ホームホワイトニング症例2
| 施術回数 | 20回 |
|---|---|
| 期間 | 不明 |
| 副作用 | 施術中に知覚過敏の症状が起こることがあります。 白さを実感できるまでには個人差があります。 |
![]() |
こちらも20代女性の患者様です。
20回のホームホワイトニングで白く美しい状態を目指します。
元々明るめのトーンでしたが、施術を進めていくことでより白く輝く状態を実現しました。
ホームホワイトニング症例3
| 施術回数 | 10回(+3週間のブラッシング) |
|---|---|
| 期間 | 不明 |
| 副作用 | 施術中に知覚過敏の症状が起こることがあります。 白さを実感できるまでには個人差があります。 |
![]() |
こちらの患者様は30代女性の方です。
ホームホワイトニングを希望されていましたが、事前に当クリニックが提供しているホワイトニング特化の歯磨きペーストを3週間使用していただいただけでも、かなりのトーンアップができました。
そこからホームホワイトニングを10回行っていただいたところで、患者様の理想とする白さを実現しています。
ホームホワイトニング症例4
| 施術回数 | 14回 |
|---|---|
| 期間 | 1年2ヶ月 |
| 副作用 | 施術中に知覚過敏の症状が起こることがあります。 白さを実感できるまでには個人差があります。 |
![]() |
こちらは50代男性の患者様です。
元々テトラサイクリン歯で、歯の色素沈着が目立っている状態でした。
ホームホワイトニングに取り組んでいただきながら、三ヶ月ごとの通院を行い、細かく経過を観察していきました。
1年2ヶ月をかけてゆっくりと施術を行い、最終的には自然な白さを実現しています。
テトラサイクリン歯とは
テトラサイクリン歯とは、テトラサイクリン系の抗生物質を服用したことが原因で歯が変色する状態を指します。
変色は黄色から茶色、さらに暗い灰色などに変化することがあります。
デュアルホワイトニング
デュアルホワイトニング症例1
| 施術回数 | オフィスホワイトニング1回、 ホームホワイトニング(回数不明) |
|---|---|
| 期間 | 不明 |
| 副作用 | 施術中に知覚過敏の症状が起こることがあります。 白さを実感できるまでには個人差があります。 |
![]() |
患者様は50代の女性です。
事前にシェードガイドで確認した色味からトーンアップを目指してデュアルホワイトニングの施術を進めました。
オフィスホワイトニングを終えた時点である程度のトーンアップが完了したため、そこからホームホワイトニングで最終的な目標の白さへ進めていきます。
ホームホワイトニング後は患者様が理想とする白さを実現することができました。












